在临近除夕的一个寒夜,一阵急促的电话铃声将家住北京市海淀区的丁仲如医生从睡梦中惊醒,原来是急诊科打来的求助电话。
一家IT企业的财务人员、32岁的男性患者被送到医院急救,当时的情形是心跳加速、全身无力、胸口疼而憋闷、站起来走路都已经非常吃力了。家属说,以为他得的是跟平时一样的感冒,都是发热、流鼻涕,年底工作忙,想扛一扛就过去了,但情况却越来越严重。
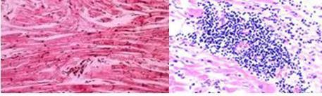
当丁医生拿到病人的心电图时,心里咯噔一下。肢体导联和胸导联广泛性ST抬高,这是典型的急性心肌梗塞症状。X光下看心影比一般人要大,搏动快且弱,心电监护心率135次/分,这是暴发性心肌炎,也意味着病人已经开始了与死神的赛跑。虽然医生们用尽所有抢救措施,最终还是无力回天。家属哀恸欲绝,他们不能相信,一场“感冒”怎么就能突然将平素体格强壮的“家庭顶梁柱”带走。
这是华米科技资深医疗专家丁仲如讲述的一个病例。丁医生此前是解放军总医院第八中心心血管中心的主任医生,曾接诊过多个年轻患者。中关村软件园就在医院旁边,二三十岁患者也不少见。不少这些年轻的患者,都是互联网等高压力行业的从业人员。
丁仲如表示,春冬交替是感冒高发期,多数人凭感觉吃药、打点滴,或者忙于工作有病硬扛,而暴发性心肌炎的症状跟感冒类似,也是头晕、发热、咽痛,然而却能导致病人猝死,年轻病例的发生确实令人非常痛心。
CME报告:高科技股的走势对以太坊价格的影响往往大于比特币:金色财经报道,根据芝商所 (CME Group) 的一份新报告,以科技股为主的纳斯达克100指数的走势对以太坊价格的影响往往大于对比特币价格的影响。
CME 高级经济学家兼执行董事Erik Norland在报告中表示:“在科技股上涨的日子里,ETHBTC 往往会上涨,因为 ETH 的收益高于 BTC”。Norland 指出,以太坊和比特币的差异可以解释为以太坊和比特币如何供应到市场然后使用,并指出以太坊智能合约网络的“实际应用”。另一方面,比特币主要被用作“高度波动”的价值储存手段和对冲法币贬值的工具。
报告称,虽然比特币和以太坊都以价格波动剧烈而闻名,但与过去一年约30%的日波动率相比,二者之间的比率几乎保持稳定。相比之下,比特币价格上涨了42%,以太坊价格上涨了59%。[2023/7/28 16:03:07]
要尽可能地避免这种悲剧的发生,除了从心理上需要引起高度重视之外,具有健康功能的智能可穿戴产品的日渐普及,也提供了新的可能路径。
“猝死”幽灵
很多人还记得去年底一家知名电商企业22岁女孩润肺猝死事件,曾在业内引起轩然大波,同时唤起有关健康、爱惜生命的讨论。互联网行业被看做是“一个用命拼的行业”,靠业绩说话、压力大、身心累,忙到凌晨1、2点并非个别。
币安证实其已被Paxos告知停止铸造新的BUSD代币:2月13日消息,加密交易所币安表示,Paxos Trust Co. 告知币安其已被指示停止铸造新的稳定币BUSD。币安发言人称:“BUSD是由Paxos全资拥有和管理的稳定币,因此,BUSD的市值只会随着时间的推移而下降。Paxos将继续为该产品提供服务,管理赎回,并将根据需要提供额外的信息。Paxos还保证,这些资金是安全的,并由银行的储备金完全覆盖。”
此前今日早些时候消息,Paxos因BUSD面临美SEC的诉讼;纽约州金融服务部命令Paxos停止发行新BUSD代币。[2023/2/13 12:04:04]
一个喜欢美食、展览、演唱会、吃夜宵的鲜活的生命、受到同事和合作伙伴交口称赞“能力特别靠谱”、“沟通协调能力赞”的可爱女孩,却因超负荷加班、劳累过度导致猝死,将年轻生命的最后一刻定格在2020年12月29日凌晨1时30分新疆地区一个寒冷的冬夜里。
相关研究报告显示,在儿童和青壮年猝死患者中,暴发性心肌炎引起者占比约7%-40%。由于暴发性心肌炎进展过于迅速,很多人来不及确诊就发生了猝死,既往很多诊断是通过尸检才获得的。尸检研究显示,心肌炎的发病率一般为0.05%-0.1%。在所有急性病感染患者中,有1-5%的患者会出现暴发性心肌炎类似症状,死亡率高达20%。且病性心肌炎以儿童及40岁以下青壮年居多。
BUSD市值超过200亿美元 市值排名第六:金色财经消息,Watcher.Guru发推称,币安稳定币BUSD的市值超过200亿美元。CoinMarketCap数据显示,BUSD市值排名第六。[2022/9/11 13:22:13]

丁仲如表示,每个人一生中会经历数不清的“感冒”,大约1%的病性感染可能伴发心肌炎。如果患病早期不注意休息,或是病感染量大、力强,就可能导致大面积的心肌细胞或心脏特殊传导系统受到严重损伤,引起心脏收缩功能迅速下降、进展至心源性休克、恶性心律失常,甚至在短时间内发生猝死,这就是案例中的“暴发性心肌炎”。
丁仲如给出的预防建议是,要“工作张弛有度,保持运动”。同时,也可以用家用医疗设备或手表、手环等智能可穿戴设备进行健康检测,以发现早期心肌炎的蛛丝马迹。早发现、早治疗,患者一旦度过危险期,预后总体良好。
在丁仲如医生提到的健康检测智能可穿戴设备中,包括智能手环、智能手表、运动耳机等可穿戴终端,也包括和运动、健康相关的跑步机、体重秤、体脂秤等产品。华米科技就是全球知名的智能可穿戴技术先行者之一,为全球健康监测提供大量实时数据。
Web3初创公司Halliday完成600万美元种子轮融资,a16z领投:8月5日消息,Web3初创公司Halliday完成600万美元种子轮融资,Andreesen Horowitz (a16z) 领投,Hashed、A.Capital、SV Angel等参投。
Halliday联合创始人Griffin Dunaif表示,Halliday为游戏玩家提供了“现在玩,以后付款(play now, pay later)”的选择。Halliday 的目标是让游戏内购买和NFT所有权证明对那些可能因游戏中NFT的高价而恼火的游戏玩家来说更加实惠和方便。Halliday让玩家可以访问游戏内的NFT市场。在不离开游戏的情况下,玩家可以选择他们想要的数字收藏品并直接购买,或者与Halliday达成付款计划。(Decrypt)[2022/8/5 12:03:29]
智能可穿戴技术先行者以科技连接健康
在华米科技看来,过去十年,是一个移动互联网和智能手机的时代;而我们所处的新的十年,则是一个万物互联的IoT智能硬件的时代。人们对健康美好的生活的追求提上了日程,IoT产业中的皇冠上的明珠,则必定是和健康相关的。公司也顺势而为、将其使命定义为以“科技连接健康”,并且积极引领了这一趋势。
MakerDAO关于5亿枚DAI分配策略的民意投票结束:7月1日消息,MakerDAO关于如何分配5亿枚DAI的MIP65民意提案现已结束投票,“用5亿枚DAI的80%购买美国短期国债,20%购买IG Corp债券”的选项胜出。[2022/7/1 1:43:34]
数据显示,2020年11月23日,华米科技2020年第三季度,公司季度内营收为22.351亿元人民币,同比增长20%。该增长超过此前发布的营收指引上限。三季度智能设备总出货量达1590万台,较2019年第三季度的1370万台同比增长16.1%;与二季度890万台的出货量相比,环比增速高达78.7%。调整后归于华米科技的净利润为1.208亿元,美国通用会计准则下,每股ADS净收入为1.24元。
市场表现出对于华米科技全能旗舰、健康监测系列产品的认可。在黄汪看来,2020年第三季度出货量和收入分别增长16%和20%,主要归功于当年新发布的小米手环5和自主品牌Amazfit手表及耳机新品的优异表现,以及在全球范围内销售版图的持续扩张和多个地区的经济回暖。
华米科技成立于2013年12月,公司成立第二个月拿到了小米和顺为资本的投资。2014年,小米手环上市之后、产品快速引爆市场,上市不到一年时间,就在全球卖出一千万台以上。截至2019年8月,其智能设备全球累计出货量已经破亿。
华米科技创始人、董事长兼兼CEO黄汪表示,“创业这件事情,是长期主义和专业主义的叠加。长期主义是建立这样的底层研发体系,为未来五年十年打基础。不是因为一年两年能出很多成果,所以才投入。当下的研发投入,必然会奠定未来3年、5年甚至10年的长期增长。”

华米科技在研发的投入一直令业界瞩目。仅2020年第三季度的研发费用达1.729亿元,同比增长38.8%,占收入的7.7%,而2019年第三季度为6.7%,反映了公司在新产品和新品类在研发上的持续扩大投入。
2020年6月,华米科技人工智能研究院正式成立,由著名智能研究专家、“多媒体计算之父”、未来健康研究所创办人RameshJain担任席顾问。7月,华米科技联合钟南山院士团队合作,成立腕部智能可穿戴联合实验室,未来将共同推动智能可穿戴产品在呼吸健康管理方面的应用研究和成果转化。
华米科技全球创新中心于2020年11月在安徽合肥落成。主要研发智能手表操作系统、芯片和传感器、人工智能技术、新材料新工艺以及创新的健康医疗产品。
华米科技在很多方面引领产业创新。比如,2018年推出了公司全球首款基于RISC-V开源指令集的智能可穿戴芯片——“黄山1号”,目前已经在自主品牌AMAZFIT智能手表及智能手环中规模化应用。2020年6月,正式发布了新一代智能可穿戴芯片——“黄山2号”,该芯片具有高运算效率和低使功耗两优势,相于ARMCortex-M4架构处理器,整体运算效率提升了38%,其房颤识别速度达到“黄山1号”的7倍,软件算法的26倍。

在Amazfit2020秋季新品发布会上,华米科技推出搭载血氧饱和度测量功能的时尚智能手表AmazfitGTR2和AmazfitGTS2。搭配自研OxygenBeats血氧引擎,其血氧测量成功率高达96%,与医疗级血氧仪检测结果平均误差仅为1.67%,为业内领先水平。
构筑全球健康生态守护人类健康
华米科技不仅仅是一家做可穿戴的智能硬件公司,更是一家基于云的健康服务提供商,把自己定义成一家社会企业,不谋求短期的盈利回报、物质回报,而是以推动人类的健康,推动社会共同发展为己任。构筑全球健康生态,做用户最信赖的伙伴。
目前,华米科技已经在全球市场构建起完整的健康和健身生态系统,建立起一套完整的传感器+健康大数据AI算法体系,包括第二代PPG物追踪光学传感器BioTracker2;第二代心脏数据AI生物引擎RealBeats2;氧数据AI物引擎OxygenBeats;睡眠数据AI物引擎SomnusCare;体活动模式AI识别引擎ExerSense及人体健康评估系统huami-PAI等。华米科技拥有海量健康大数据,并且推出了健康云服务。

公司快速走向全球化,在全球拥有众多渠道和战略合作伙伴,包括美国历史悠久的钟表品牌-天美时以及美国数字医疗公司AliveCor等。在运动和健身领域,先后收购了多运动传感器公司Zepp,以及阿迪达斯集团旗下PhysicalEnterprisesInc的核心资产,保持了在这一领域技术和产品上的领先优势。
业内人士表示,目前,华米科技不仅具备了业界领先的、经过验证的产品定义能力,也就是对全球消费者的消费洞察能力,同时也具备全球智能硬件公司少有的年出货量千万台量级的产品研发、供应链管理能力、品质控制能力以及交付能力,乃至上亿用户的云服务能力。
数据显示,华米科技2019年海外出货量占比超过了50%。2020年上半年,海外出货量占整体出货量的55.8%,在全球超过70个国家和地区建立了自己的销售网络,旗下自主品牌Amazfit智能手表在意大利、西班牙、印度、印尼等多个国家销量名列前茅。销售团队中,有50%以上的成员在海外,外籍员工占比也比较高。
黄汪说,让每一个早晨醒来都十分兴奋的、让每个晚上都十分痴迷熬夜的、让一整天都孜孜以求的,是内心里真正喜欢而渴望去创造的事物;每当跟朋友提起,自己都能眉飞色舞、滔滔不绝的,就是生命中最应该去做的那些产品和技术。“虽然目前已经取得很多阶段性的成果,但是距离真正实现‘科技连接健康’使命,还非常遥远、还有很多路要走。人生是一个螺旋上升的迭代过程,兜兜转转,曾经的热爱和努力,都不曾浪费。”黄汪对未来目标坚定且理性。
北方/文
标签:Oxygen人工智能CortexOxygen币是什么币人工智能技术应用学人工智能后悔死了人工智能考研考哪些科目Cortex币是什么币
一、学校简介&历史1.南洋理工大学,简称南大,是新加坡地区一所世界著名的研究型大学。 2.NTU是环太平洋大学联盟、新工科教育国际联盟成员,全球高校人工智能学术联盟创始成员、AACSB认.
1900/1/1 0:00:00一周指数一周要闻 两会提出要加强充电桩、换电站等基础设施建设在今年的两会期间,政府提出要坚持扩大内需,充分挖掘国内市场潜力。其中特别提到新能源汽车相关内容.
1900/1/1 0:00:00面对数字鸿沟,慌张无措的“目标客户”序章站在门槛上的冷笑人的死亡有三:物理死亡、社会死亡、记忆死亡。物理死亡——意即肉体死亡,生机断灭,这里不较这个邪劲,不去思量什么灵魂21克这种脑洞.
1900/1/1 0:00:00《高考英语词汇表及录音》本表共收约3000多个单词。 m-z~174:47来自广博雅正machinen.机器mada.发疯的;生气的madam/madamen.夫人,女士magazinen.杂志.
1900/1/1 0:00:00量子计算仍然是一项新兴技术,但它的潜力已经在许多行业中得到体现。从医疗到金融再到人工智能,我们来看看那些准备被量子计算机重塑的行业。量子计算机很快就能比任何传统计算机更快地解决一些问题.
1900/1/1 0:00:00来源:郑重微言 郑重/文 在几乎横盘了两周时间之后,比特币今天最高到了54111.58元/枚,日内涨幅超3%。这是比特币自2月23日以来的最高价格,距离此前58000美元/枚距离时间不远了.
1900/1/1 0:00:00